Mon 9:00AM-6:00PM
Tue 9:00AM-6:00PM
Wed 9:00AM-6:00PM
Thu 9:00AM-6:00PM
fri 9:00AM-6:00PM
Sat 8:00AM-3:00PM

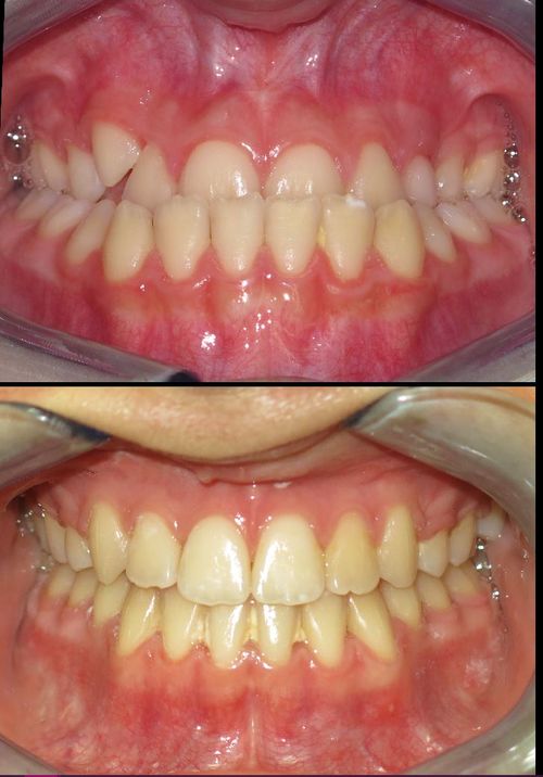
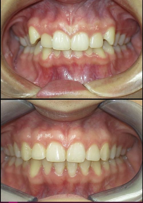
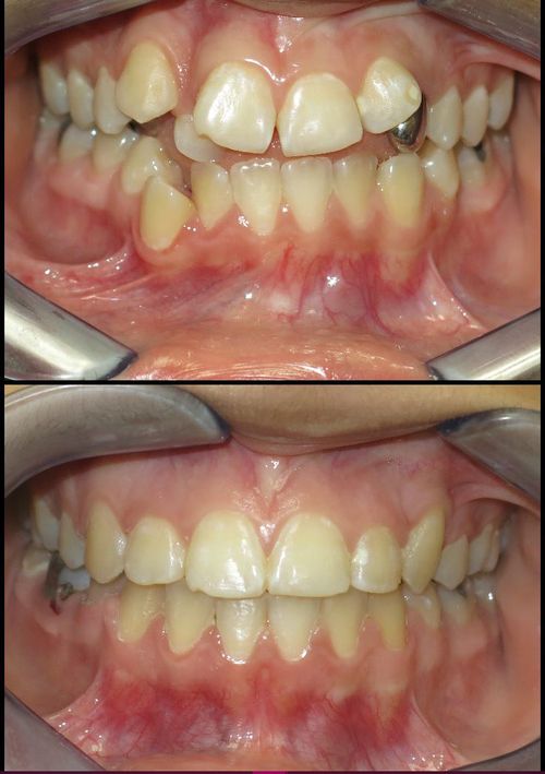
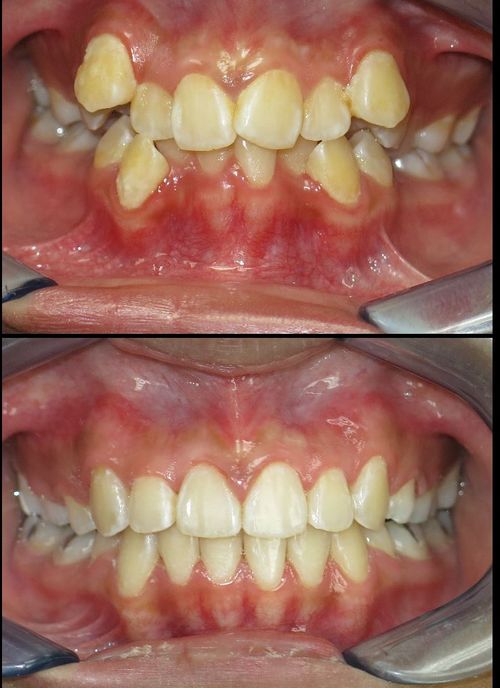
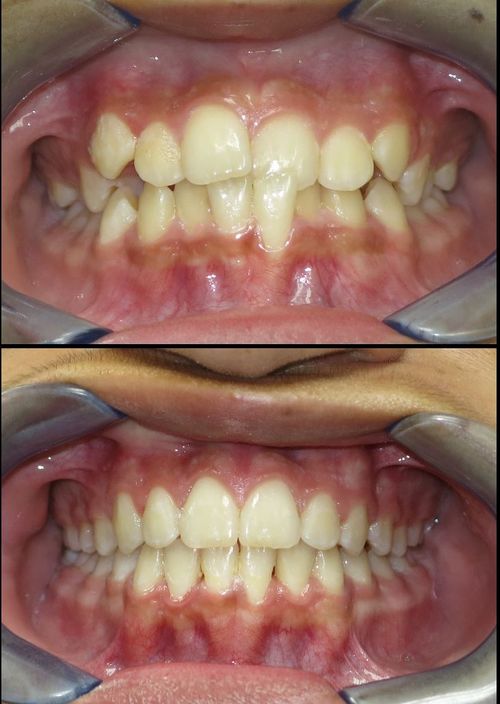
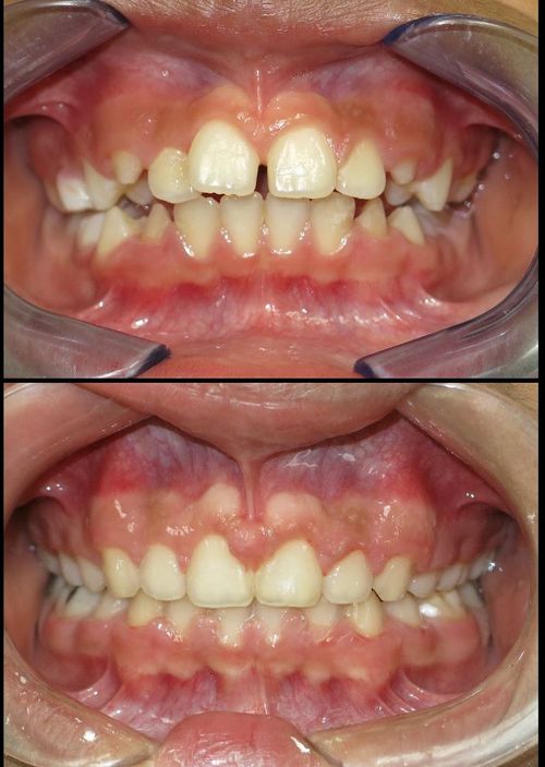
Many patients step into our practice with dreams of a brand new grin. Others are looking to repair damage and get their oral health back on track. Seeing these individuals walk out of our doors with a strong smile and newfound confidence is the reason behind our mission here at Lunar Orthodontics. No matter your goals, we’re honored to be a part of your oral health journey. Take a look at our Before & After gallery to explore real patient stories!





